DIY Aligners vs. Doctor-Supervised: The Hidden Risks

In the era of one-click ordering and next-day delivery, the appeal of “at-home” orthodontics is undeniable. You see the ads on social media: a perfect smile delivered to your doorstep for a fraction of the cost of traditional braces, all without stepping foot in a dental office.

While the convenience of mail-order aligners (often called DIY orthodontics) is attractive, there is a significant distinction that often gets lost in the marketing: Orthodontics is a medical procedure, not a retail product.

As dental professionals, our concern isn’t just whether your teeth look straight—it is whether your mouth is healthy and functional. Below, we break down the critical differences between DIY aligners and doctor-supervised care, specifically focusing on the hidden risks regarding safety and bite occlusion.

The Illusion of Simplicity

Mail-order aligner companies rely heavily on algorithms. You take a mold of your teeth at home (or visit a “smile shop” for a scan), and a computer projects a straight smile.

However, moving teeth is a biological process involving bone remodeling. It requires precise force applied in specific directions. When you remove the doctor from the equation, you remove the diagnostic safety net.

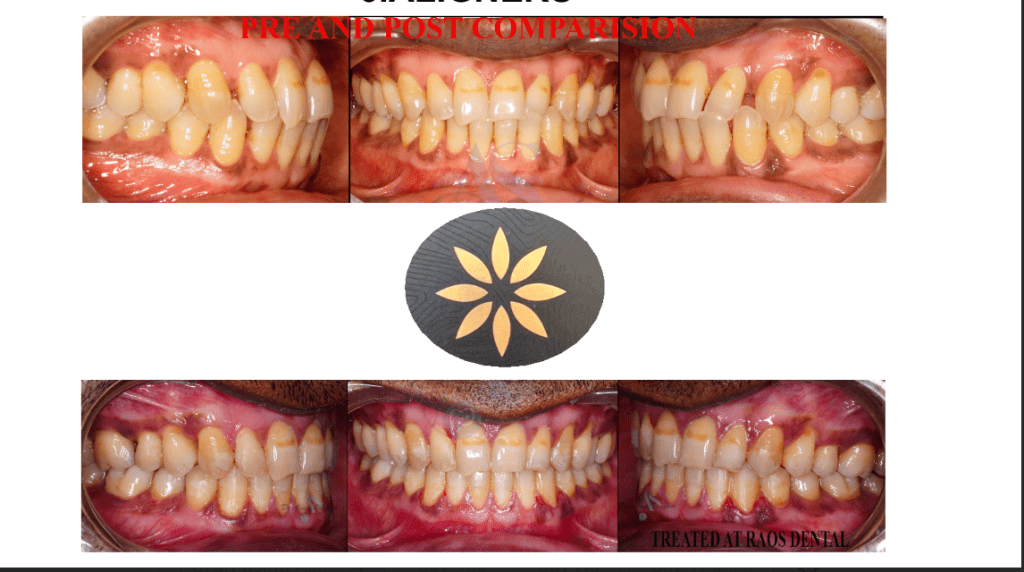
Dr Rao's dental clinic has affordable aligners

1. The "Hidden" Risk: Bite Occlusion

The most common misconception patients have is that “straight teeth” equal a “good bite.” This is false. You can have perfectly straight front teeth but a bite (occlusion) that is completely non-functional.

  • The Mechanism: When you move a tooth, it changes how it meets the opposing tooth.
  • The DIY Risk: DIY aligners often focus strictly on the “social six”—the front teeth visible when you smile. By straightening these without accounting for the back teeth, you can inadvertently create an open bite (where back teeth touch but front teeth don’t) or a traumatic bite.
  • The Consequence: A misaligned bite can lead to jaw pain, Temporomandibular Joint (TMJ) disorders, uneven wear on your enamel, and even cracked teeth/restorations over time.

In a doctor-supervised setting, we constantly monitor your occlusion to ensure that when your treatment is done, your teeth don’t just look good—they fit together like a precision gear system.

2. The Necessity of X-Rays and Biological Health

Before a dentist or orthodontist starts moving your teeth, we take X-rays. This is non-negotiable. Why? Because we need to see what is happening under the gums.

  • Root Length and Health: If you have short roots, moving teeth too fast can cause root resorption (shortening of the roots), which can lead to tooth loss.
  • Bone Levels: If you have underlying gum disease (periodontal disease) or bone loss, moving teeth can accelerate the destruction of the bone support, leaving you with loose teeth.

Mail-order companies generally do not require X-rays. They are moving teeth blindly, assuming your bone and roots are healthy enough to withstand the pressure.

3. Attachments and IPR: The Tools of Precision

Plastic alone is often not enough to rotate a stubborn tooth or pull a tooth down into alignment.

  • Attachments: In-office treatments often use “buttons” or tooth-colored attachments bonded to specific teeth. These act as handles for the aligner to grip, allowing for complex movements.
  • IPR (Interproximal Reduction): Sometimes, to alleviate crowding, a doctor must polish away a microscopic amount of enamel between teeth to create space.

DIY aligners cannot use attachments or perform IPR. This limits their ability to treat anything beyond very mild spacing or crowding issues. If your case is complex and you use a simple DIY tray, the teeth may not track correctly, leaving you with a result that is halfway done and potentially unstable.

Dr Rao's dental clinic has affordable aligners
aligner

Comparison at a Glance

Aligner Comparison Table
Feature Doctor-Supervised Aligners DIY / Mail-Order Aligners
Supervision Regular in-person visits to monitor tracking. Remote monitoring (or none at all).
Diagnostics X-rays, 3D scans, periodontal exam, TMJ check. DIY impressions or basic scan only.
Occlusion (Bite) prioritized equal to aesthetics. Often overlooked; focus is on front teeth only.
Complexity Can treat crossbites, severe crowding, and bite issues. Limited to very mild aesthetic changes.
Mid-Course Correction Adjustments made immediately if teeth stop tracking. Difficult to adjust; often requires starting over.

The Verdict: Invest in Your Health

Dr Rao's dental clinic has affordable aligners

Your smile is an investment that should last a lifetime. While the lower price tag of DIY aligners is tempting, the cost of fixing a damaged bite, treating gum recession, or replacing a lost tooth is far higher.

There is a place for teledentistry, but moving teeth involves complex biology. It requires the eyes, hands, and judgment of a trained doctor to ensure that the journey to a confident smile is safe, effective, and permanent.

Don’t gamble with your dental health. If you are considering clear aligners, choose the path that guarantees you are seen, heard, and cared for every step of the way.

Leave a Reply

Your email address will not be published. Required fields are marked *